Sykdom i munnhulen
De fleste forbinder tannlegebesøket med en sjekk etter hull i tennene. Man må imidlertid ikke glemme at det finnes utallige andre tilstander og sykdommer som kan komme fra – eller vise seg i munnhulen.
Eksempler på sykdom i munnhulen kan være:
Gingivitt
Betennelse i tannkjøttet som medfører hevelse, ømhet og blødning ved berøring. Vil oftest gå over ved grundigere renhold over tid.
Periodontitt
Betennelse i tennenes støttevev som kan få tennene til å løsne. Ca. 10 % av den voksne befolkningen i Norge er disponert for alvorlige former for periodontitt.
Diverse sårdannelser
F.eks. after eller herpessår, varer noen dager og forsvinner av seg selv. Sår med varighet over 2 uker bør kontrolleres hos lege eller tannlege.
Slimhinneforandringer
F.eks. lichen planus kan ha ulike overflater og farge (rødlig eller hvit). Bør følges med på, eventuelt ta biopsi dersom mistanke om ondartet utvikling.
Sopp
F.eks. candida albicans, kan opptre for eksempel etter langvarige antibiotikakurer eller ved nedsatt immunforsvar.
Kreft
Ta kontakt med tannlege eller lege dersom du oppdager sårdannelser som ikke vil gro. Vil ofte opptre i forbindelse med tunge eller leppe.
Infeksjoner
Kan f.eks. komme fra tenner med hull inn til nerven, delvis frembrudte visdomstenner eller ved periodontitt (sykdom som får tenner til å løsne). Kjennetegnes ved hevelse, rødhet, smerte, pussdannelse. Kan også forekomme feber og nedsatt allmenntilstand. Bør i første omgang behandles ved at puss dreneres, eventuelt i kombinasjon med antibiotika.
Skader etter snus
Slimhinneforandringer vil vanligvis normaliseres dersom man slutter å snuse, større skader f.eks. i tannkjøttet vil være permanente.
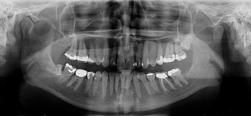
Kjevecyster
Kan være vanskelige å oppdage på annen måte enn ved røntgenbilder.
Dette er bare en liten del av de tilstandene man kan finne i munnhulen, men de alvorlige tilstandene er heldigvis noe man sjelden får. Det anbefales likevel at man får munnen kontrollert regelmessig hos tannlege eller tannpleier.
