Infraksjoner
Hva er en infraksjon?
En infraksjon vil si det samme som et ufullstendig brudd eller en sprekkdannelse. Infraksjoner oppstår oftest i tenner med store amalgamfyllinger. Mange har infraksjoner i flere tenner uten å være plaget med disse, mens andre derimot kan ha store plager fra tenner med infraksjoner.
Hvordan oppstår infraksjoner?
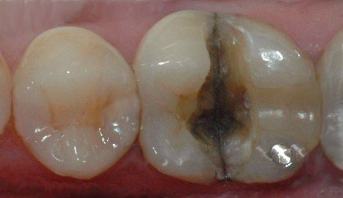
I tenner med store fyllinger er tannsubstansen rundt fyllingen svekket. Når man tygger, kan det etter hvert utvikles små sprekker i tannen. Disse sprekkene utvikler seg under fyllingen og forløper vanligvis på skrå bort fra tann-nerven ( g. I). Infraksjonen kan imidlertid også gå inn til nerven ( g. II) eller til og med dele tannen i to ( g. III).

figur I

figur II

figur III
Om man gnisser eller presser tenner, for eksempel om natten når man sover, vil tennene utsettes for store krefter. Infraksjonene kan da bli større og man kan også oppleve sprekkdannelser i tenner uten fyllinger.
Merk at infraksjoner også kan oppstå eller ”aktiveres” etter at plastfyllinger legges i tenner. Slike fyllinger trekker seg sammen når de herder, og kan medføre spenninger i tannen.
Symptomer
Det vanligste symptomet ved infraksjoner i tenner, er smerter i forbindelse med tygging. Smerten beskrives ofte som en skarp iling i tannen når man tygger på noe hardt (fig. IV). I mange tilfeller kan man også oppleve smerte i det man ”slipper opp” bittet. Det er typisk at smerten er kortvarig, og forsvinner kort tid etter at belastningen opphører. Ofte vil tannen også reagere på kaldt og eventuelt på varmt.

figur IV
Diagnose hos tannlegen
Infraksjoner viser ikke på røntgenbilder. Det må derfor foretas en klinisk undersøkelse for å lokalisere infraksjonen. Ofte vil man kunne finne den ved at pasienten biter sammen på en ”bitepinne” i plast. Man vil da kunne utløse en iling i tannen når man biter sammen på det ”riktige” stedet. Andre ganger kan det være nødvendig å fjerne fyllingene i tannen for å kunne se sprekkdannelser direkte. Fra tid til annen er det likevel ikke mulig å fastslå med sikkerhet hvor infraksjonen er.
Behandling av tenner med infraksjoner
Behandling av tenner med infraksjoner avhenger av flere faktorer. Hvilken behandlingsform som velges styres blant annet av antall infraksjoner i tannen, hvordan infraksjonene forløper og graden av plager fra tannen.
Fylling:
I enkle tilfeller kan man fjerne gamle fyllinger i tannen, deretter ta bort delen av tannen som omfattes av infraksjonen og så bygge opp igjen med en fylling i plast.
Krone:
Dersom det forekommer flere infraksjoner eller om disse går dypere, vil ofte det beste være å dekke tannen med en krone. Dette vil virke stabiliserende på tannen og forhindre at det knekker større biter av den.
Rotfylling:
Dersom infraksjonen medfører at bakterier infiserer tann-nerven, vil det være nødvendig å rotfylle tannen før den restaureres. Det vil da i mange tilfeller være nødvendig å restaurere tannen med en krone.
Trekke tannen:
I de tilfeller sprekkdannelsen deler tannen i to, kan det være nødvendig å trekke tannen.
Avvente tannbehandling:
Dersom man ikke klarer å påvise hvor plagene kommer fra, kan det være nødvendig å avvente behandling inntil symptomene trer tydeligere frem.
Prognose
Det er ikke alltid behandling av en tann med infraksjoner fører frem i første omgang. Dersom symptomene fortsetter etter at tannen er reparert med en fylling eller krone, kan rotfylling være nødvendig for å løse problemet. I verste fall kan det bli nødvendig å fjerne tannen. Dette avhenger av sprekkens plassering, dybde og forløpet den tar.
Når man starter å behandle en tann med infraksjoner vil prognosen være usikker.



