Ising og børsteskader
Følsomme tannhalser
Mange er i perioder plaget med ising i tennene. Den vanligste årsaken til slike plager er følsomme tannhalser.
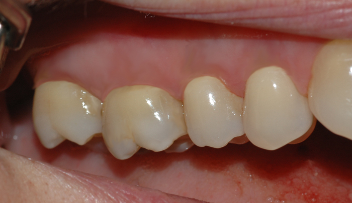
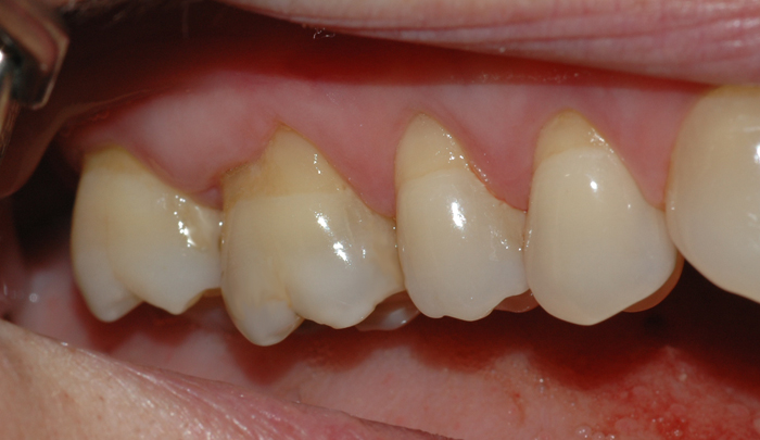
Figur I viser en tann i snitt med normale tannkjøttsforhold. Vi ser at tannkjøttet ligger tett inntil tannkronen. Feil bruk av tannbørsten, eller en betennelse i tannkjøtt og tannfeste, kan over tid få tannkjøttet til å trekke seg tilbake (fig. II). Den blottlagte rotoverflaten er ikke beskyttet av emalje, og vil ofte være følsom for kaldt, syrlig eller ved berøring, for eksempel ved tannbørsting.

figur I

figur II

figur III

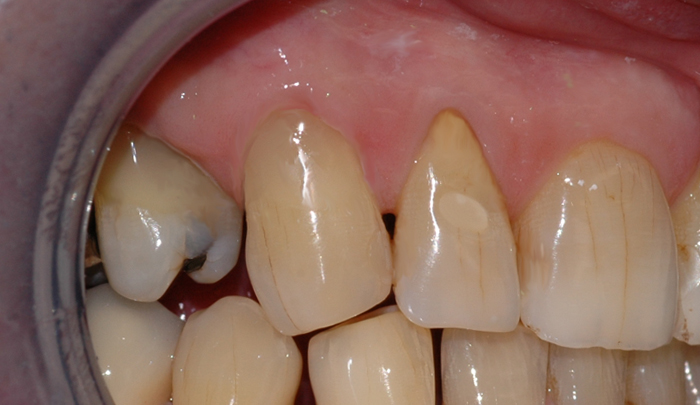
figur IV
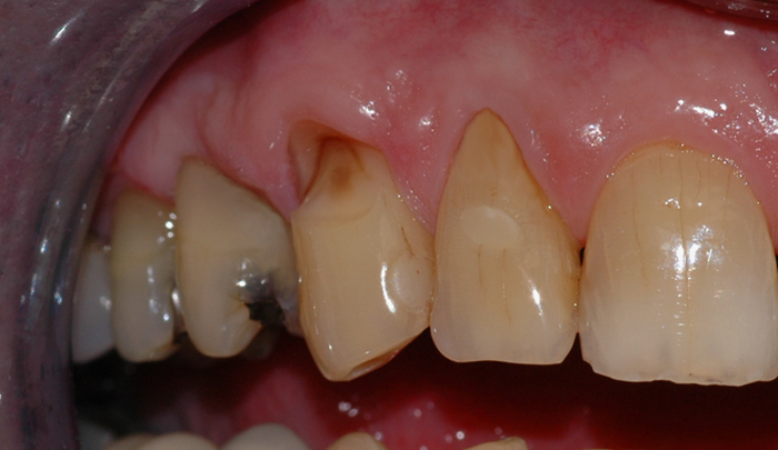
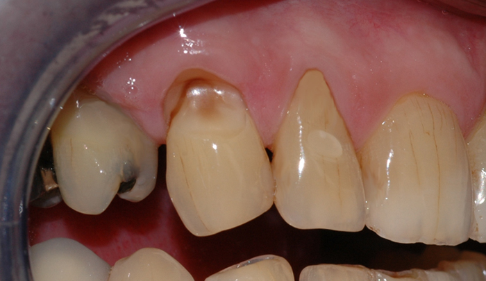
På lengre sikt kan feil børsteteknikk medføre slitasjeskader på selve tannen (fig III). Dersom skaden blir dyp, kan det bli nødvendig å restaurere tannen med en fylling (fig IV).
For å lindre følsomme tannhalser kan du:
- Børste skånsomt og bruke mykere tannbørste
- Skylle med fluorskyll daglig
- Bruke spesialtannkrem mot ising. Tannlegen eller tannpleieren kan komme med gode råd om hvilken tannkrem som bør benyttes
- Ikke skylle ut tannkremen etter børsting, men la den virke i munnen
- Smøre spesialtannkrem mot ising på den følsomme tannhalsen, og la den virke på tannen
- Få behandlet tannhalsen med effektiv fluorlakk hos tannlege eller tannpleier
Andre årsaker til ising i tennene
Dype eller utette fyllinger, større kariesangrep og sprekkdannelser i tennene kan også medføre ising. Ofte vil tannlegen kunne løse problemet ved å legge en tett fylling i tannen. Dersom nerven er for skadet, kan det være nødvendig å rotfylle tannen først. Tannbleking kan også medføre ising i tennene.




