Snus
De senere årene har antall røykere blitt redusert i Norge. Samtidig har man sett en kraftig økning i snusbruken. Snus inneholder mange kjemiske stoffer, deriblant nikotin, som tas opp i kroppen gjennom slimhinnen der snusen ligger.
På samme måte som røyketobakk, er snus avhengighetsskapende og det kan være like vanskelig å slutte å snuse som å stumpe røyken. Snus består av spesielle tobakkssorter tilsatt blant annet vann, salt og forskjellige smaksstoffer. Mange av de kjemiske stoffene som snusen inneholder kan være kreftfremkallende.
Skader ved snusbruk
Slimhinnen der snusen ligger, reagerer ved å bli rød og irritert. Etter lengre tids fast snusing blir slimhinnen hvitlig, fortykket og rynkete. Om man slutter å snuse, vil slike forandringer normaliseres etter en tid.
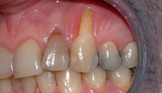
Tannkjøttet kan også påvirkes av snusbruk. Man kan etter hvert se at tannkjøttet trekker seg tilbake og etterlater en blottlagt rotoverflate der snusen ligger. Selv om man slutter å snuse, vil tannkjøttet ikke komme på plass igjen. Dette er altså en permanent skade.
Når det gjelder tennene, vil disse kunne misfarges som følge av snusing. Både sprekkdannelser i emaljen og overgangen mellom tenner og fyllinger er steder der fargestoffer fra snusen vil kunne sette seg og bidra til et skjemmende smil.

Påvirkning på generell helse
Undersøkelser viser stort sett at snusing er mindre skadelig enn røyking. Det er likevel grunn til å ta snusrelaterte helseskader på alvor. Man har blant annet funnet at snusbruk øker risikoen for høyt blodtrykk.
Nikotinet fra snusen får blodårene til å trekke seg sammen, samtidig som pulsen stiger. Dette fører til at blodtrykket stiger. Allerede etter få år med snusbruk kan det økte blodtrykket bli vedvarende.
Det er også undersøkelser som har funnet økt risiko for diabetes type 2 og hjerteinfarkt ved langvarig bruk av snus.
Videre tyder det på at man har en økt risiko for utvikling av kreft i munnhule, spiserør og bukspyttkjertel ved snusing. Dette kan være alvorlige kreftformer med høy dødelighet.
