1. Forsiden
  2. Tannbehandling
  3. Vanlige problemer
  4. Syreskader

Syreskader

Syreskader på tenner i Trondheim - forebygging og behandling

 

Syreskader på tennene er et økende problem i Trondheim, spesielt blant unge og voksne med moderne kostholdsvaner. Når emaljen utsettes for hyppig kontakt med sure drikker som brus, juice og energidrikker, eller ved regelmessig inntak av sitrusfrukter, oppstår syreskader.

Dette kan over tid føre til at emaljen slites ned, noe som gir tennene et matt eller gulaktig preg og gjør dem mer utsatt for ising og økt slitasje. Stadig flere pasienter i Trondheim opplever slike symptomer. Det er viktig å oppdage syreskader tidlig for å kunne iverksette forebyggende tiltak og unngå større tannskader.

For å beskytte tannhelsen bør man begrense inntaket av sure drikker, vente med tannpuss etter sure måltider og opprettholde gode munnhygienerutiner. Ved mistanke om syreskader bør profesjonell vurdering oppsøkes for å bevare et sunt smil lengst mulig.

 

Typiske tegn på syreskader er:

  • Tynnslitt emalje
  • Ising i tennene
  • Hakker/ groper i emaljen
  • Tenner med gulere felter og mattere overflate

 

Syreskader er permanente og det er derfor viktig at de oppdages tidlig. Slik kan man sette inn tiltak for å forhindre alvorlige skader på tennene.

 

Hvordan beskytte tennene mot syreskader:

  • Unngå småspising mellom måltidene
  • Avslutt måltidet med basiske matvarer som f.eks. ost eller melk
  • Drikk mindre brus, juice og syreholdige sportsdrikker
  • Det kan være lurt å skylle munnen med vann etter inntak av syrlig mat og drikke
  • Vent en time med å pusse tennene etter inntak av syrlig mat og drikke
  • Bruk myk tannbørste og ikke børst for hardt
  • Skyll regelmessig med fluor. Fluor vil styrke emaljen og forebygge videre skader

Hyppige sure oppstøt og spiseforstyrrelser som medfører oppkast kan også gi syreskader på ten­nene. Om du lider av dette, bør fastlegen kontaktes.

Omfattende syreskader der mye emalje er gått tapt, kan være kostbart å reparere. Det er derfor lurt å være tidlig ute og stanse utviklingen av disse skadene.

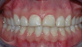
syreskader

Bildet viser tenner som har vært utsatt for syrepåvirkning.

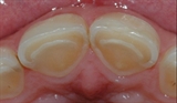
syreskader på tenner

Et nærbilde viser at tennene har en matt overflate og om­råder med et gulere preg.

syreskader på tenner

På baksiden av tennene er store deler av emaljen etset bort.

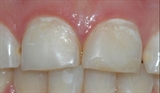
syreskader på tenner

Bildet viser små groper i tennene, der emaljen er etset bort.